●初診時口腔内



数件の歯科医院で治療を受けられましたが、噛み合わせが合いませんでした。その度に補綴物をやり直すも、結局外してしまい、当院へ来院されました。右半身を中心に肩こり、首こり、顎の痛みを訴えられています。
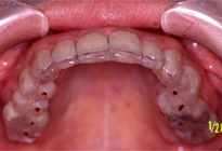
●スプリント装着時



スプリントを用いて適正な顎の位置に誘導。これにより、右半身の症状(肩こり、首こり、顎の痛みなど)が消失しました。
●プロビジョナル補綴



スプリントで誘導した顎の位置をTEK(仮の歯)で噛めるように移行させます。
●治療終了時



TEKで噛み合わせを安定させたあと、最終補綴で顎の位置を安定させて治療が終了します。
費用:約65万 期間:約10か月








